EDITORIAL
CLINICAL MEDICINE. REVIEWS
Overweight and obesity are common problems among women of reproductive age, affecting their health and fetal development. Metabolic disorders caused by these conditions complicate prenatal diagnosis, reducing the informative value of ultrasound examinations. The paper presents a literature review dedicated to improving prenatal screening methods in obese pregnant women. It presents technical difficulties, such as reduced visualization quality of fetal anatomical structures due to an increased subcutaneous tissue, and suggests ways to improve diagnosis, including the use of high-precision devices and individual selection of ultrasound parameters. The optimal timing of ultrasound examination and its impact on the results are reviewed. The conclusion emphasizes the importance of further research for optimization of the process of prenatal diagnosis in women with obesity.
Serious changes in the female body occur during pregnancy and childbirth, which require the restoration of both physical and psycho-emotional strength. A special feature of the postpartum period is the increased stress on the body, which makes rehabilitation relevant. The number of childbirths in 2023 in the Russian Federation amounted to more than 1.2 million, of which 785,000 (64.5%) with childbirth and postpartum complications.
The scientific literature search is carried out at eLIBRARY.RU, National Library of Medicine, CyberLeninka, disserCat databases with a search depth of 5 years.
In the postpartum period, a woman faces pressure from psychological and physical factors: a renewed social role, the need to care for a child, disrupted balance between sleep and wake. For a successful recovery, full-fledged postpartum rehabilitation that considers individual characteristics is needed.
This research seeks to analyze the diagnostic specifics of diffuse peritonitis and its management in patients with AIDS, considering immunological disorders and the characteristics of the pathogens involved. Researchers analyze the diagnostic specifics and management of diffuse peritonitis in patients with AIDS by reviewing scientific literature using Springer, PubMed, Google Scholar, and eLIBRARY.RU. with a search depth not exceeding 10 years. The following keywords are used: diffuse peritonitis, inflammatory disease, immuno deficiency, HIV, AIDS, CD4+ T-cells, immunosuppression, immune status, peritoneal inflammation, antiretroviral therapy. The analysis includes studies containing data on clinical cases, disease management, the effectiveness of antimicrobial and surgical therapy, as well as survival in patients. Based on the conducted literature review, it is established that diffuse peritonitis in patients with AIDS is a pressing issue due to the large number of patients with AIDS and acute surgical pathology. Thus, according to the literature, 1.5–7.0% of patients who were admitted with acute abdominal surgical pathology had HIV infection. Moreover, these patients tend to have severe immunodeficiency, opportunistic infections, the high mortality rate reaching 50–80%, which is associated with late diagnostics, peculiarities of the immune response, and a high frequency of multiple organ failure. Studies confirm the need for a comprehensive approach to treatment, including early diagnostics, timely surgical intervention, the use of combined antimicrobial therapy and organ support. The authors claim that prescribing ART during the treatment of sepsis requires an individual approach because of drug interactions and the risk of deterioration in the condition.
CLINICAL MEDICINE. ORIGINAL RESEARCH
The study assesses the quality of automated analysis in magnetic resonance imaging (MRI) results using artificial intelligence (AI) technologies for the diagnostics and monitoring of multiple sclerosis (MS).
The aim of the study is to evaluate the effectiveness and accuracy of AI-based services in the automated analysis of MRI for MS diagnostics and monitoring. The main objectives include: conducting a prospective analysis of the two AI services’ performance in real clinical practice; assessing the clinical judgment and area under the receiver operating characteristic curve (AUROC) for each AI service; comparing the quality of AI services and their applicability for automated morphometry of MS lesions.
This study is part of the Moscow Experiment, the largest prospective clinical study in the world regarding the use of AI in radiology. The study includes MRI data from 2,320 patients, which were analyzed by two independent
AI services. To evaluate the performance of the AI services, an original monitoring methodology is used, involving a random review of MRI results by radiologists. Statistical analysis is performed using clinical judgment scores and AUROC. AI service no. 2 demonstrated better performance: the clinical judgment score was 91.0%, and the AUROC score was 0.93. AI service no. 1 showed a clinical judgment score of 81.2% and an AUROC score of 0.89. Both services achieved “good” and “high” quality levels, however, AI service no. 2 proved to be more reliable and accurate in real clinical practice. AI technologies are applicable for the automated analysis of MRI in the diagnostics and monitoring of MS. They help reduce subjectivity and time consumption in interpreting MRI results. AI service no. 2 showed better results, making it more prospective for implementation in healthcare practice. However, further research is required to improve the reliability and accuracy of AI services.
This study endeavors to explore how parameters of adipose and muscle tissue, acquired through abdominal computed tomographic imaging and processed by artificial intelligence software, can be utilized to assess the activity of inflammatory bowel diseases without invasive procedures. We conducted a retrospective mono-centric cross-sectional study. Clinical and anamnestic, laboratory, and instrumental data of patients with inflammatory bowel diseases are analyzed. To analyze unenhanced computed tomographic images (middle level of the L3 vertebral body), artificial intelligence software is used to determine the cross-sectional areas and average X-Ray absorption of skeletal muscle tissue, areas of intramuscular, visceral, and subcutaneous adipose tissue. The skeletal muscle index and the percentage of intramuscular adipose tissue are calculated. Disease activity is determined based on endoscopic, histological, and tomographic data. The study included data from
61 patients (25 women (41%); 24 patients with ulcerative colitis (39,3%) and 37 with Crohn’s disease (60,7%); 50 patients with active disease (82%) and 11 in remission (18%)). Comparing the active group to the remission one, we observed a decrease in the area (p=0,038) and content (p=0,017) of the intramuscular fat. According to the results of the ROC analysis, the threshold level for predicting remission for the area of intramuscular fat is 3,53 cm2 (AUROC 0,67), for the intramuscular fat content – 3.72% (AUROC 0,71).
The aim is to evaluate the prognostic significance of biomarkers and clinical and instrumental parameters in the first trimester of pregnancy for the prediction of early preeclampsia in multiple pregnancy. The authors analyze a disintegrin and metalloproteinase with thrombospondin motifs 5 (ADAMTS-5), placental growth factor (PlGF), soluble fms-like tyrosine kinase-1 (sFlt-1), beta-human chorionic gonadotropin (β-hCG), pregnancy associated plasma protein-A levels, arterial pressure, and Doppler parameters of the uterine arteries. The paper reveals that the development of early preeclampsia in multiple pregnancy is associated with a decrease in ADAMTS-5 and PlGF concentrations and an increase in the sFlt-1/PlGF ratio in the first trimester. At the same time, the arterial pressure, β-hCG, PAPP-A, and sFlt-1 levels did not have statistically significant differences compared to the group of patients with uncomplicated multiple pregnancy. The pulsatility index of the uterine arteries was decreased during early-onset preeclampsia development. Combined assessment of arterial pressure, uterine artery pulsatility index, β-hCG, PAPP-A, PlGF and ADAMTS-5 demonstrate significant prognostic value for early-onset preeclampsia in multiple pregnancy. The results confirm the feasibility of using a multimodal model including clinical, biochemical and Doppler parameters for early prediction of preeclampsia in multiple pregnancy.
The requirement to sustain breastfeeding in infants is the impetus for research into new resources to aid mothers experiencing breastfeeding problems. The psychological attitude and self-perception of the mother in her ability to breastfeed her child are vital during lactation. In many countries, the Breastfeeding Self-Efficacy Scale (BSES) is used. An assessment of the validity, taking into account the psychometric properties of the Russian-translated short form questionnaire, is being performed. The study involves 192 women who breastfed their infants. Reliably significant differences are revealed in the compared groups: Group 1 breastfed for up to 6 months, Group 2 breastfed for more than 6 months. Group 2 demonstrated a higher level of confidence. Validation of the translated version allowed its utilization as a prognostic tool for the success and continuation of breastfeeding in its initial phase.
CLINICAL MEDICINE. CLINICAL CASE
The study aims to present a clinical case of surgical treatment of a post-traumatic cranial defect using an individualized implant created with additive manufacturing technologies. A case of a patient who underwent decompressive craniectomy after severe traumatic brain injury is presented. During the planned cranioplasty, specialists used digital technologies for 3D modeling and created a custom silicone mold. The mold was used during the operation to create a bone implant from Synicem cement. The postoperative period had no complications. Complete closure of the cranial defect was achieved with the implant, and there was no evidence of displacement on the computed tomography scan. The use of additive technologies improves the precision and cosmetic outcomes of cranial reconstruction, offering an individual approach and optimal biomechanical adaptation.
LIFE SCIENCES. ORIGINAL RESEARCH
According to numerous Russian and foreign publications during 2023–2024, there was a significant rate increase in community-acquired pneumonia in children. At the same time, there was a large group incidence of pneumonia caused by Mycoplasma pneumoniae in the Russian Federation among children. In the respiratory mycoplasmosis clinical aspect, there is damage to various levels of the respiratory tract with the predominant involvement of the lower parts in the pathological process, the development of bronchitis and pneumonia, often with bronchial obstructive syndrome associated with mucostasis. The scientific literature gives limited information about the extrapulmonary manifestations of this infection. The most common extrapulmonary manifestations are skin lesions as various rashes, erosive and ulcerative changes in the mucosa, the so-called mucositis, damage to the cardiovascular system with the development of carditis, arrhythmias, arthritis. Rarer manifestations include hemolytic and aplastic anemia, and the most severe manifestations are damage to the central nervous system (encephalitis, mycoplasma pneumonia-induced myelitis). The article presents a clinical case of infection caused by Mycoplasma pneumoniae in a 10-year-old child with the development of severe mucositis in combination with damage to the respiratory tract and a number of other manifestations.
The paper examines and analyzes data obtained by radiological research methods in 15 HIV-infected patients with a histologically verified plasmoblastic lymphoma (PBL) who were treated in the period from 2014 to 2023 in the hematology department of the Surgut District Clinical Hospital. We obtained data that do not contradict the reviews of other researchers. Plasmoblastic lymphoma develops in people aged 40–50 years, malignant lymphoma is commonly first diagnosed at stage III or IV according to the Ann Arbor stages. It is characterized by damage to the oral cavity, but cases of damage to the gastrointestinal tract are not uncommon. This type of lymphoma occurs in 83% of cases in people with severe immunosuppression. In 100% of cases, the association of lymphoma with Epstein–Barr virus (EBV) is revealed.
LIFE SCIENCES. EXPERIMENTAL RESEARCH
The purpose is to examine the possibility of correcting antineoplastic drugs induced hepatotoxicity on the liver of experimental animals. To correct the hepatotoxic effects of the pharmarubicin and cisplatin antineoplastic drugs, the rats were injected with immobilized granulocyte-colony stimulating factor (immobilized G-CSF). The immobilized G-CSF was obtained by conjugation of non-glycosylated cytokine molecules with polyethylene glycol with a molecular mass of 1,500 G-CSF, and comparator drug Neupogen was administered to rats at a dose of 100 mcg/kg for 5 days, starting on the second day after a single injection of cytostatic drug. The results show the positive effect of immobilized G-CSF on the level of liver enzymes in experimental animals after cytostatic drug. The authors indicate normalization of liver enzyme activity in blood serum and a decreased intensity of inflammatory processes in the rats’ liver parenchyma caused by the administration of cytostatic drugs, as well as regenerative processes stimulation. Thus, the authors reveal that the immobilized G-CSF use after isplatin and pharmarubicin administration reduces the severity of the cytostatic drugs’ toxicity and damage on the liver of experimental animals.
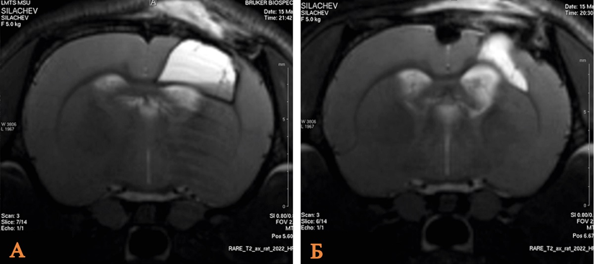
Traumatic brain injury is a primary cause of death and disability, with significant physical, social and economic effects. The study of neuroprotective properties of pharmacological drugs is an important scientific task. Comparison of the lithium chloride effect in the doses of 63 mg/kg and 21 mg/kg after 60 and 180 minutes in open traumatic brain injury experimental modeling in rats is the research aim. Male Wistar rats (n = 60) are included in the study: control group, sham-operated animals and four groups depending on the administered dose of lithium chloride and time intervals. On day 14 after traumatic brain injury, magnetic resonance imaging is utilized to examine the extent of brain damage in rats. Comparative analysis of lithium chloride’s effect on brain damage severity across the studied groups indicates that a 63 mg/kg dose, administered 60 minutes post-injury, demonstrates optimal efficacy in the traumatic brain injury model.











